Los Ganglios Basales. Neuroanatomía, características y alteraciones Bineure

Denominamos ganglios basales a un conjunto de núcleos subcorticales interconectados situados en torno al sistema límbico y del tercer ventrículo. Se ubican a ambos lados del tálamo, a la altura del lóbulo temporal. Se trata de cúmulos de materia gris; es decir, zonas en las que se concentran las partes de las neuronas que no están.
Sistema Nervioso Central
Video: Ganglios (núcleos) basales. Estás mirando una vista previa. Suscríbete a Premium para acceder al video completo: Descripción general de las estructuras que componen los ganglios o núcleos basales y elementos asociados. Descripción general de las estructuras que componen los ganglios o núcleos basales y elementos asociados.
Ganglios basales Anatomía y función Kenhub
Los ganglios basales son un grupo de núcleos de origen variado en los cerebros de vertebrados que actúan como una unidad funcional cohesiva. Los ganglios basales están asociados con una variedad de funciones que incluyen el control motor voluntario, el aprendizaje procesal relacionado con comportamientos rutinarios o "hábitos" como el.
Ganglios de la Base

Anatómicamente los ganglios basales son masas de sustancia gris en el telencéfalo que incluyen: 1) núcleo (n) caudado, 2) n lenticular (formado por el n putamen y el globo pálido externo e interno, 3) y la amígdala. Funcionalmente se relacionan a través de múltiples conexiones con núcleos próximos que incluyen al núcleo subtalámico.
Ganglios Basales y la Vía Directa (Part.1) YouTube

Ahora que ya sabemos sus características y dónde se encuentran, podemos pasar a analizar los núcleos que conforman los ganglios basales, detallando las funciones que realiza cada uno de ellos. 1. Núcleo caudado. El núcleo caudado es un ganglio basal que, en estrecha relación con el núcleo putamen, está involucrado en distintas funciones.
Los núcleos de la base (ganglios basales y sus conexiones)

Los ganglios basales son un conjunto de agrupaciones de neuronas especializadas en procesar información sobre el movimiento. Nos ayudan a afinar y ajustar cada una de las acciones más simples que llevamos a cabo a lo largo del día. Estamos ante un conjunto de núcleos subcorticales del cerebro que juegan un papel muy importante.
GANGLIOS BASALES (NEUROANATOMÍA) YouTube

Núcleos basales. Los núcleos basales, llamados también ganglios basales, son un grupo de núcleos interconectados de sustancia gris que se ubican en la profundidad de la sustancia blanca del telencéfalo, diencéfalo y mesencéfalo. Forman parte del sistema motor extrapiramidal y colaboran con el ajuste fino de los movimientos voluntarios.
Ganglios basales estructura, vías y enfermedades Mente y Ciencia

Los ganglios basales o núcleos basales son un grupo de estructuras que se encuentran en la profundidad de la sustancia blanca del encéfalo.Forman una parte del sistema motor extrapiramidal y trabajan en conjunto con los sistemas piramidal y límbico.. Los ganglios basales constan de tres pares de núcleos subcorticales; el núcleo caudado, el putamen y el globo pálido.
Aplica la Psicología a tu vida Ganglios basales Psicobiología, Sustancia negra, Psicologia

Los ganglios basales están formados por diversos núcleos que constituyen un serie de células o conjuntos de neuronas bien delimitados. Cada núcleo basal se relaciona con una función distinta. Los núcleos basales contienen tanto neuronas sensitivas como neuronas motoras y neuronas internunciales. Cada una de ellos realiza una serie de.
El Cerebro del Siglo XXI Ganglios Basales Anatomia del cerebro humano, Neurología, Fisiología

Orientan al cuerpo en el espacio. Los trastornos y enfermedades de los ganglios basales se caracterizan por producir alteraciones del tono muscular, movimientos involuntarios, presencia de rigidez, cambios en la postura y en el control motor. Así mismo, entre sus trastornos más comunes se encuentran el balismo, corea, los tics y el temblor.
Núcleo accumbens partes, estructura y funciones

Las principales neuronas que conforman los ganglios basales son las neuronas espinosas de tamaño mediano -NEMs-, las cuales son dependientes del GABA. Asimismo, los axones de estas neuronas se dirigen a los núcleos de salida de los ganglios basales a través de una vía directa e indirecta (Avila-Luna, Bueno-Nava, 2014).
Ganglios basales Resumen Anatomia Ganglios basales Entre la corteza cerebral y la base del
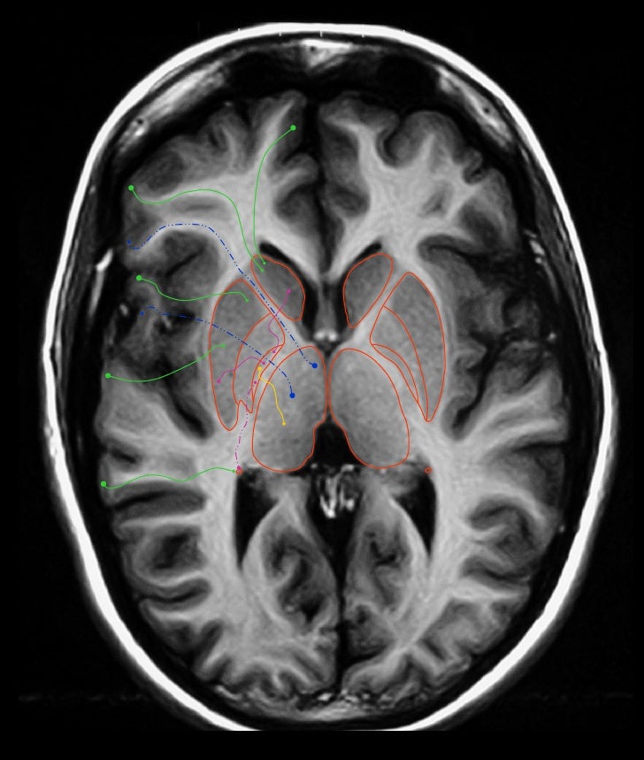
Los ganglios basales son un grupo de núcleos interconectados que participan en funciones motoras y no motoras. En términos anatómicos, el término se refiere a los siguientes núcleos: caudado, putamen, globo pálido, nucleus accumbens septi y tubérculo olfatorio, todos ellos localizados de manera topográfica en la "base" del cerebro (fig. 14-2).
Presentacion Psicobiologia Neuroanatomia Funcional

Page ID. Los ganglios basales son un grupo de núcleos subcorticales, es decir, grupos de neuronas que se encuentran debajo de la corteza cerebral. Los ganglios basales están compuestos por el estriado, que consiste en el núcleo caudado y el putamen, el globus pallidus, el núcleo subtalámico y la sustancia nigra.
Ganglios basales Asociación Educar Ciencias y Neurociencias aplicadas al Desarrollo Humano

Los ganglios basales son un grupo de núcleos de sustancia gris ubicados en la base del cerebro. Anatómicamente, los ganglios basales consisten en vías complementarias paralelas que procesan información motora, límbica, sensorial y asociativa. Están conectados por circuitos neuronales complejos y se comunican con otras partes del cerebro.
Ganglios basales Anatomía y función

Como mencionamos inicialmente, los ganglios basales son encargados de actividades motoras y el núcleo putamen es el que coordina movimientos automáticos como manejar: sea automóviles, bicicletas, entre otros. Nota: Es importante mencionar que el síndrome de Tourette se cree que está relacionado con alguna falla existente en el putamen.
🥇 Anatomía de los GANGLIOS BASALES. (Núcleos Basales) ¡Explicación Sencilla! YouTube

La función principal de los ganglios basales corresponde al movimiento. Otras funciones incluyen recompensa y aprendizaje. Se encuentra cerca del tálamo y también está conectado al tronco del encéfalo , lo que lo convierte en un sistema de retransmisión central dentro del cerebro. Los ganglios cerebrales no deben confundirse con los.